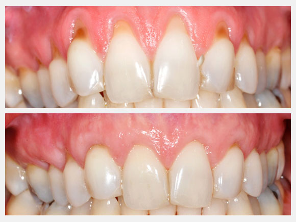
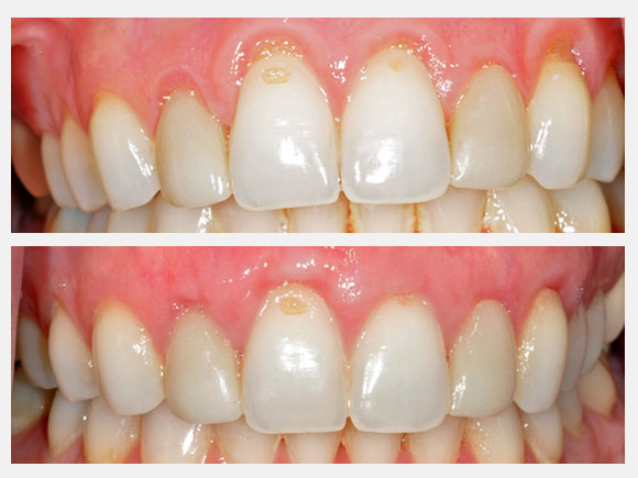
Female age 56 patient, GR Miller Class II-III, phase 1 surgery included coronally advanced flap (CAF) with placement of Alloderm® sites 4-13. Post-operative photo was taken 8 weeks following final surgery. A point here that cannot be overlooked - firm, healthy tissue that covers vulnerable dentin and root surfaces not only alleviates sensitivity, it can also decrease the risk of root caries. The esthetics change for this patient was an added benefit.